
DOB:Feb 14th 2021
SIRE: Drah-Mos de Relaced
DAM: Showtime's Shut
126 pounds
23.5 inches
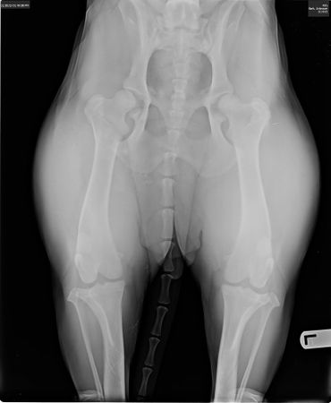
OFA
Elbow: Grade 1
Hips: Mild subluxation







We want to ensure we breed not only working quality dogs, but dogs that are genetically sound.
Click here for Cleo's Embark Results



We use cookies to analyze website traffic and optimize your website experience. By accepting our use of cookies, your data will be aggregated with all other user data.